CASOS RADIOLÓGICOS

ESTÁS AQUÍ: INICIO / CASOS RADIOLÓGICOS

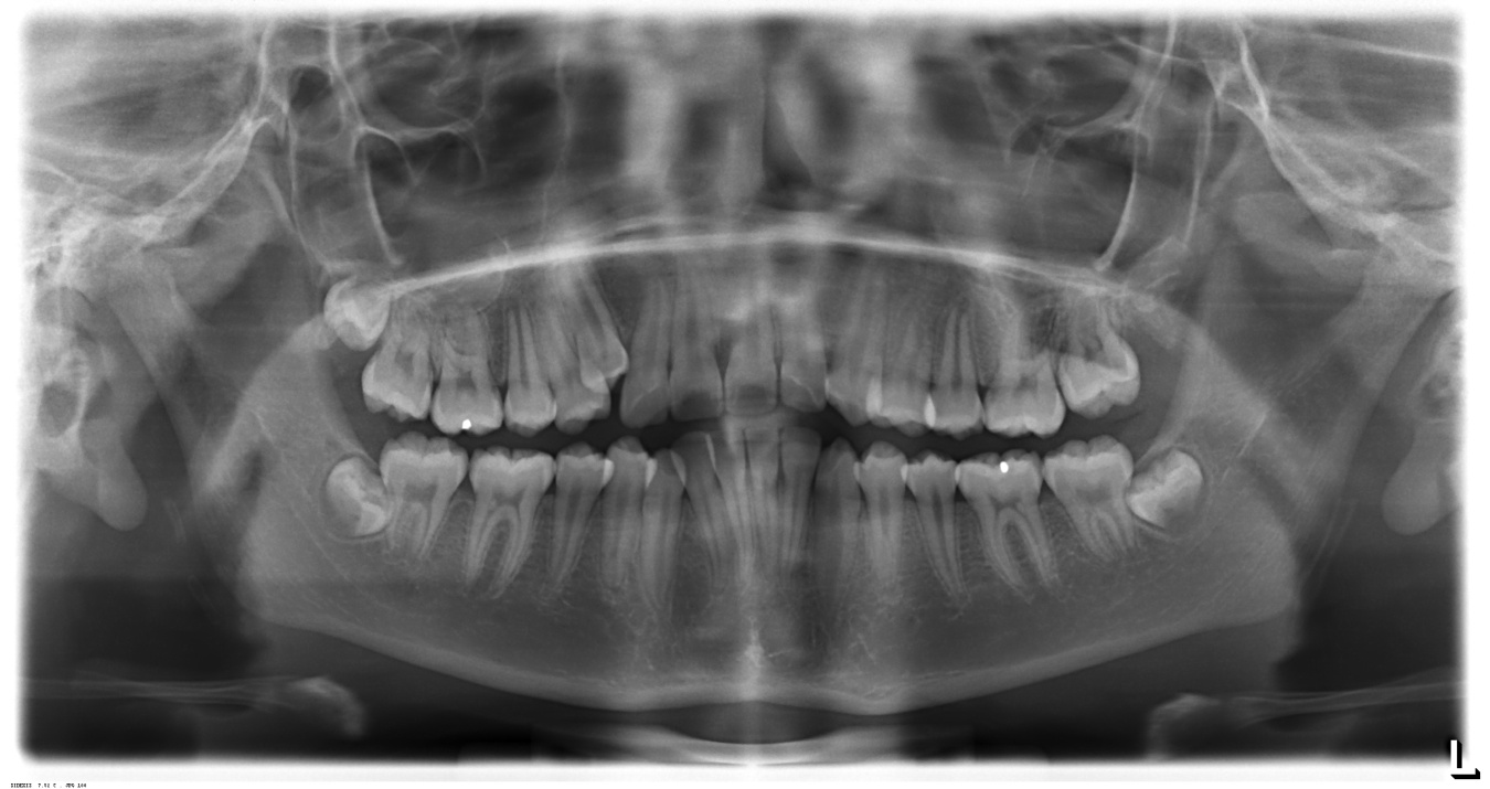
CASO 3. CALCULOS PULPARES

Dentro de la pulpa de los dientes se encuentran diversas formas de calcificaciones, con una frecuencia tal ,que se puede dudar acerca de si su presencia representa un estado patológico o solamente aspecto de las variaciones biológicas normales. Estas calcificaciones se pueden localizar en cualquier parte de la cámara pulpar y otras en el conducto radicular, inclusive en ambas localizaciones al mismo tiempo.

Los nódulos pulpares varían en su tamaño desde pequeñas partículas microscópicas hasta formaciones que ocupan casi toda la cámara pulpar.
Esta forma de calcificación aumenta con la edad y parece estar acompañada con la disminución de la vascularidad e inervación, los cuales se cree representan los cambios por envejecimiento de la pulpa Los nódulos pulpares pueden formarse en varios dientes, y también en todos los dientes de algunas personas, lo que indica que su formación podría estar controlada genéticamente.
Los nódulos pulpares son calcificaciones pulpares, sin causas conocidas y evolución impredecible, que consisten en concreciones de tejido muy calcificado y estructura laminada, las cuales se encuentran más frecuentemente en la cámara pulpar que en los conductos radiculares.
Las calcificaciones de la pulpa presentan un problema en el tratamiento endodontico y pueden tomar cada vez más difíciles estos procedimientos, en especial cuando son extensas o se adhieren a las paredes pulpares.

Contactos

Ambato
  • Darquea entre Espejo y Mariano Eguez (2do Piso)

Teléfonos:

  • 0995495674
Latacunga
  • Av. Amazonas y General Maldonado. Edificio Léxus (planta baja)

Teléfonos:

  • 0995495674

Copyright © 2022 Dental Imagen. Todos los derechos reservados. Política de privacidad